案例分享

祥悅牙醫擁有豐富的臨床經驗,累積了眾多成功案例。 透過專業的醫療團隊與先進設備,為每位患者量身打造最適合的治療方案。

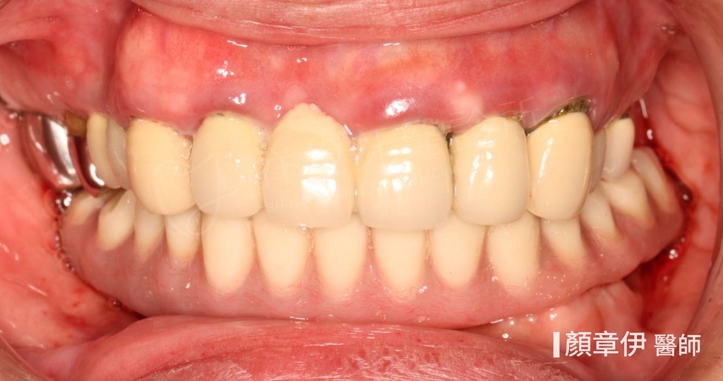
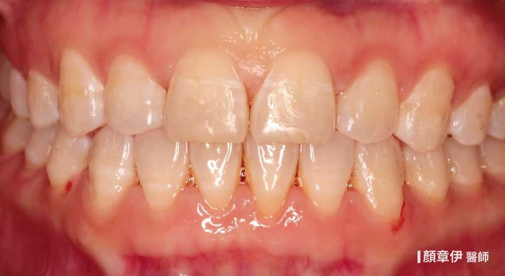
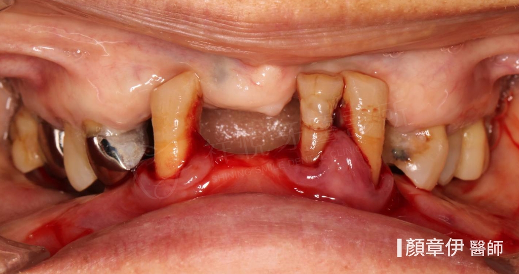
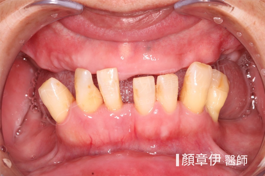
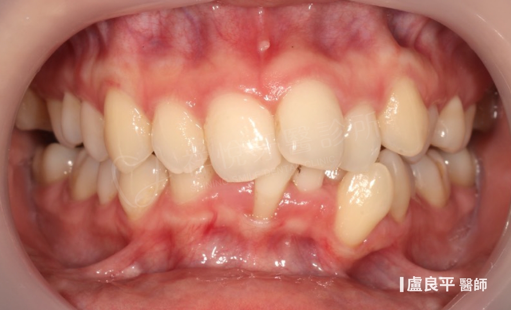
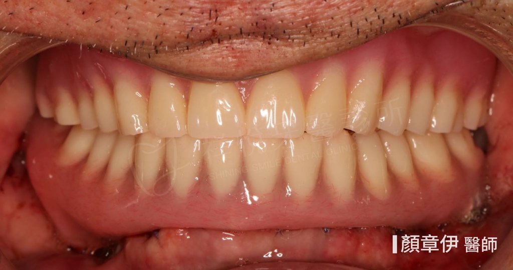
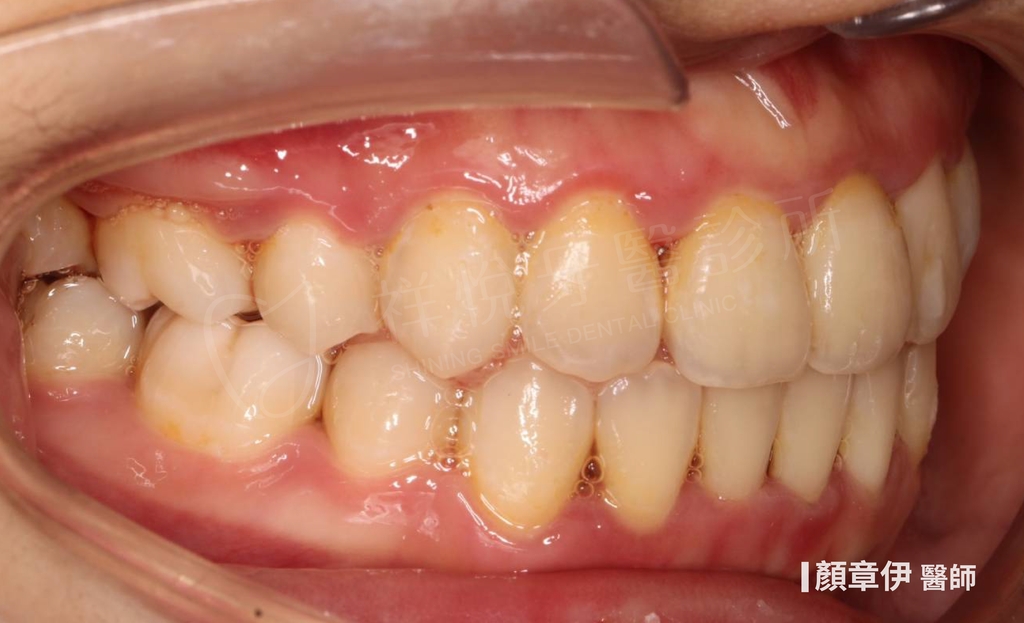
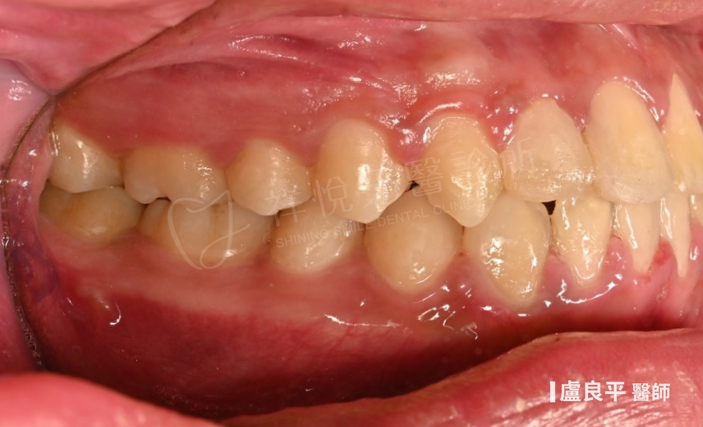
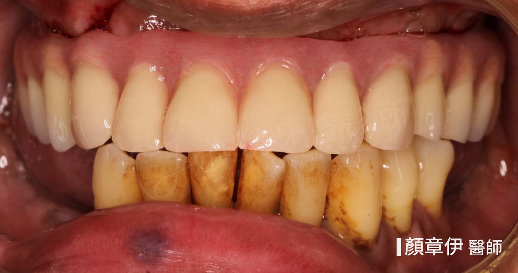
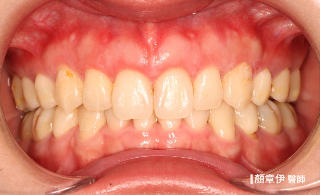
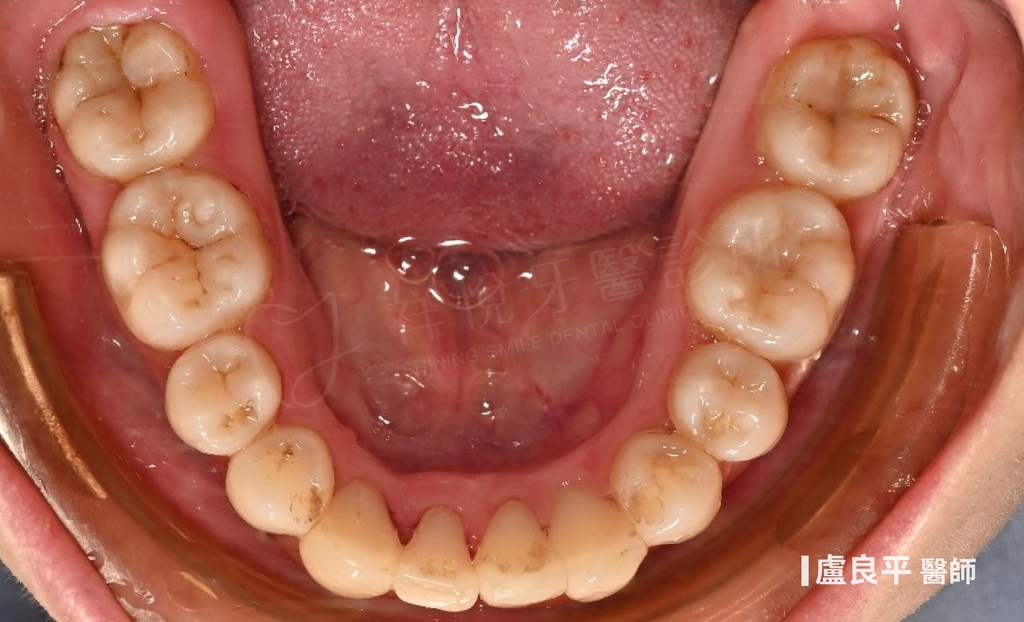
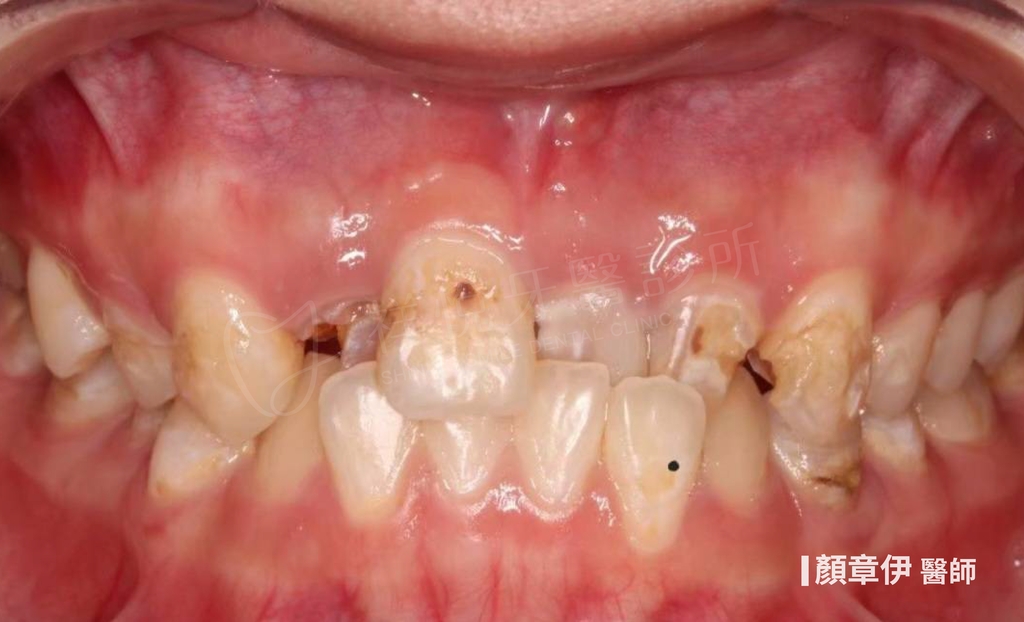
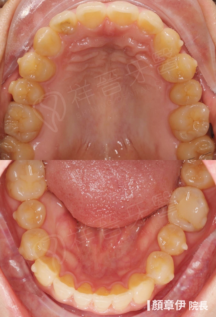
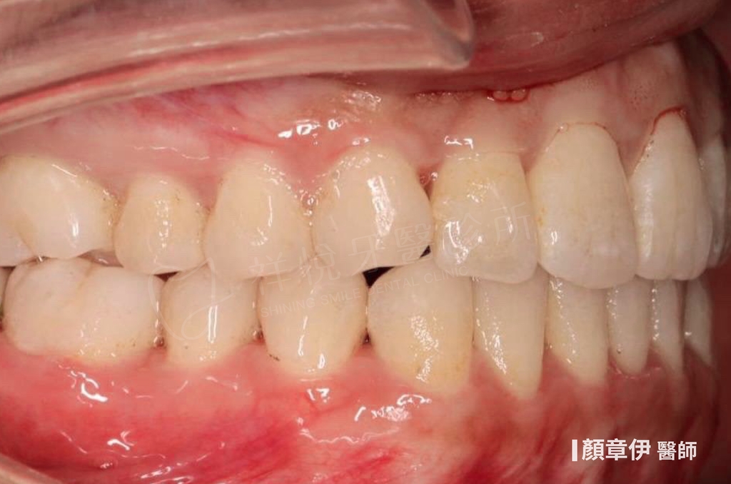
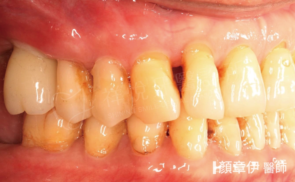
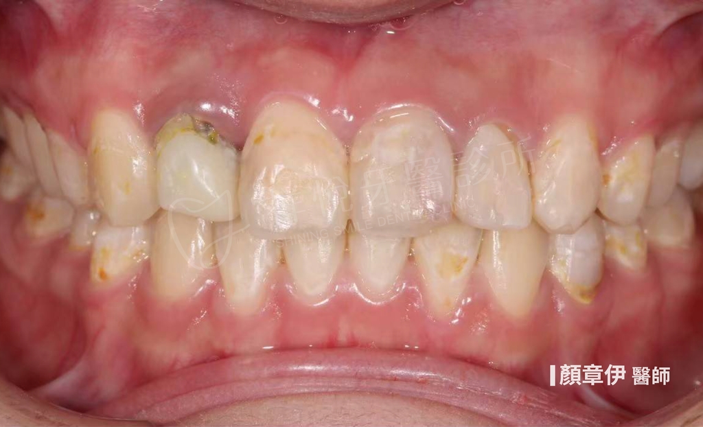
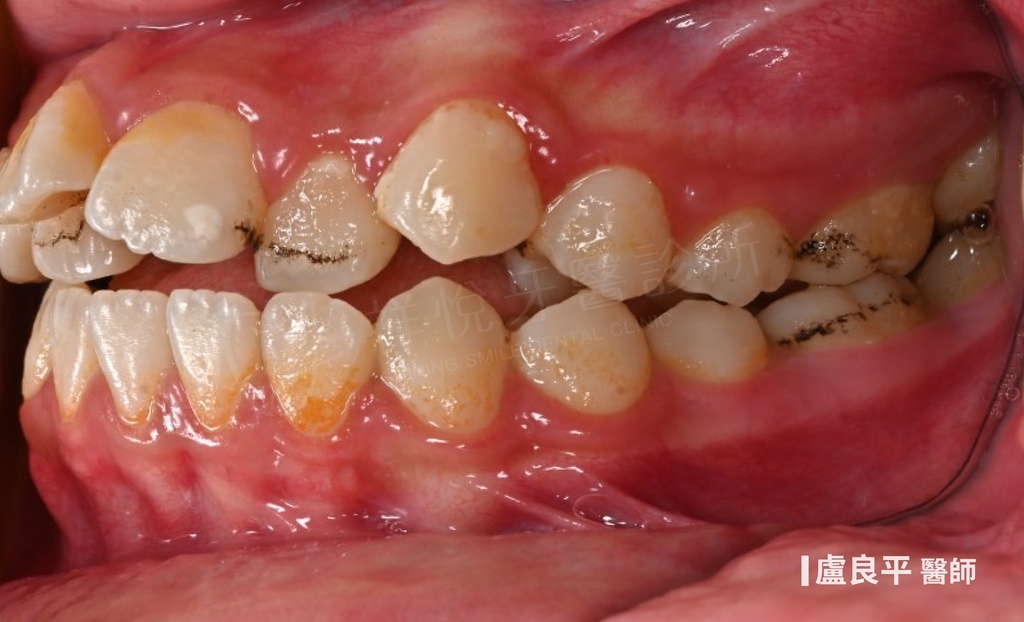
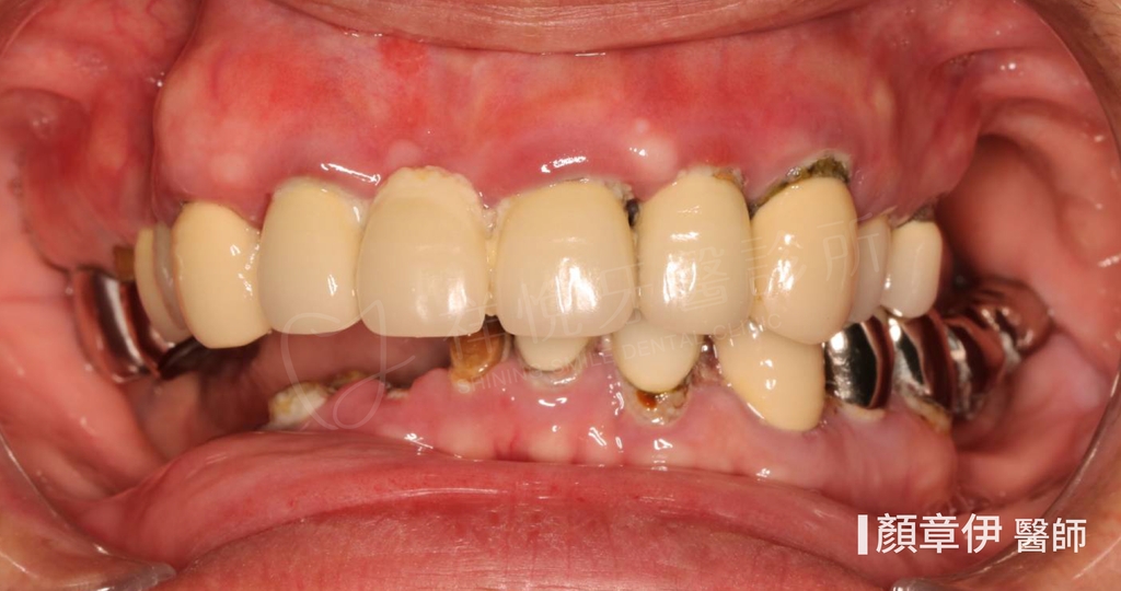
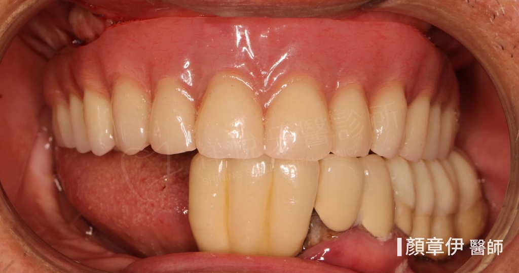
一日長城案例

透過 All-on-4 全口重建技術,一日之內恢復完整咬合功能與美觀。

治療前 治療後
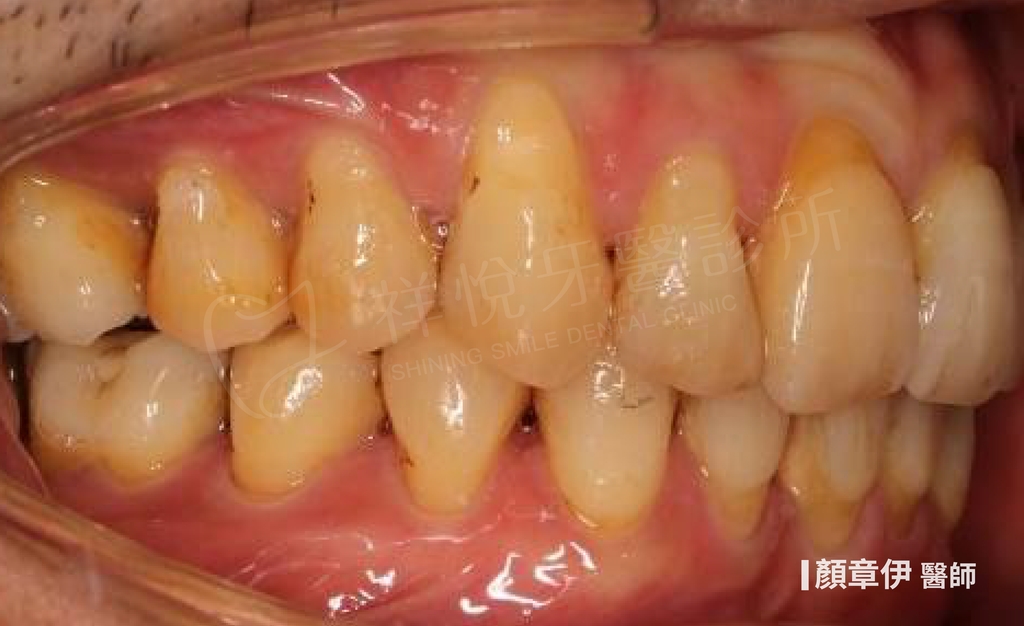
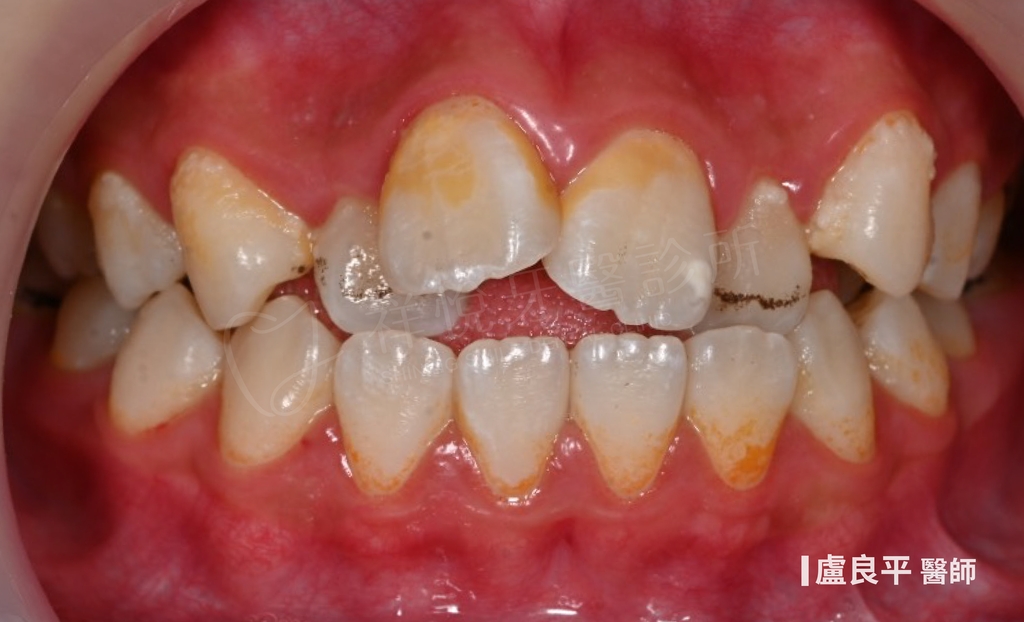
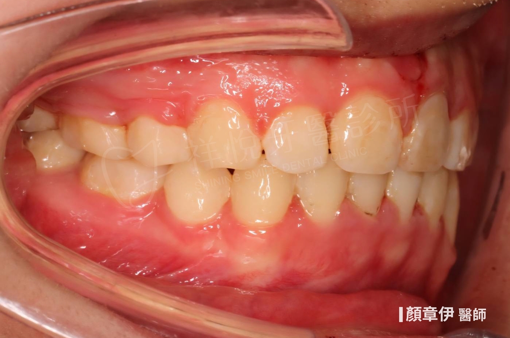
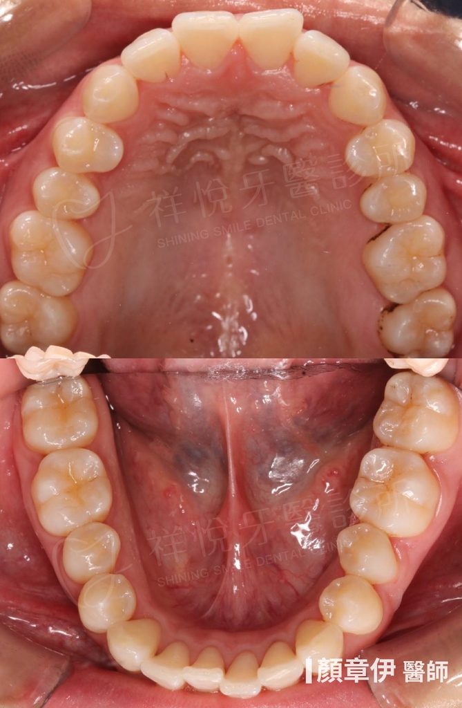
一日長城治療前
一日長城治療後
一日長城治療前
一日長城治療後
一日長城治療前
一日長城治療後
一日長城治療前
一日長城治療後
一日長城治療前
一日長城治療後
一日長城治療前
一日長城治療後
一日長城治療前
一日長城治療後
一日長城治療前
一日長城治療後
一日長城治療前
一日長城治療後
一日長城治療前
一日長城治療後
一日長城治療前
一日長城治療後
一日長城治療前
一日長城治療後
一日長城治療前
一日長城治療後
一日長城治療前
一日長城治療後
一日長城治療前
一日長城治療後
一日長城治療前
一日長城治療後
一日長城治療前
一日長城治療後
一日長城治療前
一日長城治療後
一日長城治療前
一日長城治療後
一日長城治療前
一日長城治療後
了解更多一日長城

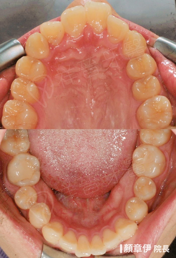
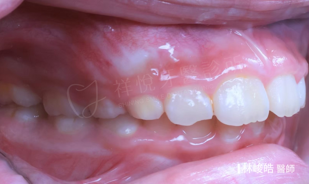
植牙案例

專業植牙技術,重建缺失牙齒,恢復自然咀嚼功能。

植牙前 植牙後
植牙治療前
植牙治療後
植牙治療前
植牙治療後
植牙治療前
植牙治療後
植牙治療前
植牙治療後
植牙治療前
植牙治療後
植牙治療前
植牙治療後
了解更多植牙資訊

即拔即種案例

拔牙當日立即植入人工牙根,縮短療程時間,減少手術次數。

治療前 治療後
即拔即種治療前
即拔即種治療後
了解更多即拔即種

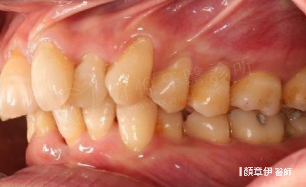
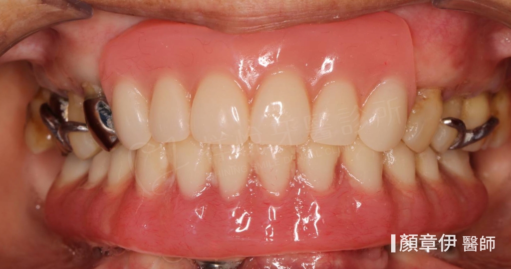
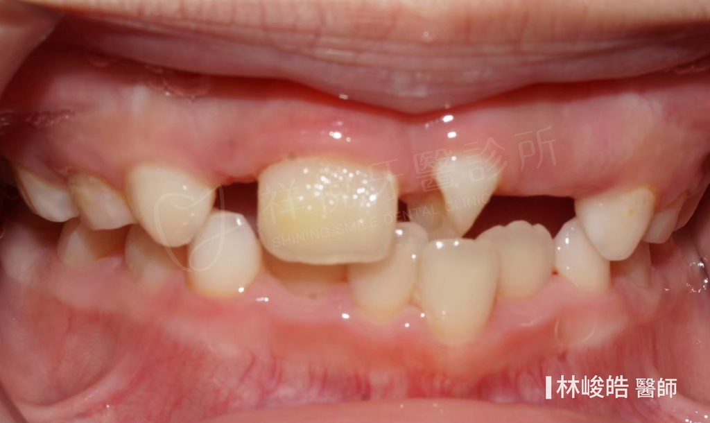
全口重建案例

針對多顆缺牙或全口無牙的患者,提供完整的口腔重建方案。

治療前 治療後
全口重建治療前
全口重建治療後
全口重建治療前
全口重建治療後
了解更多全口重建

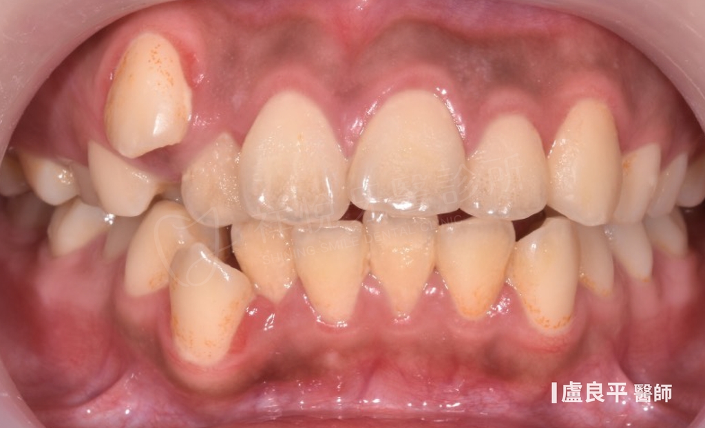
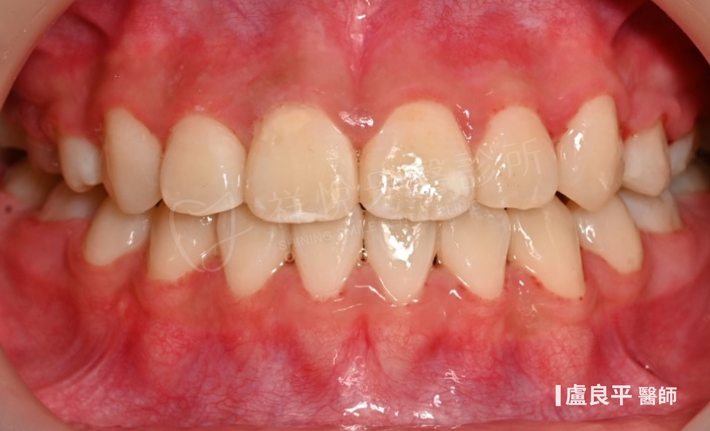
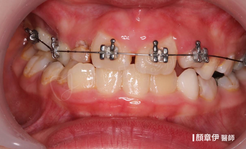
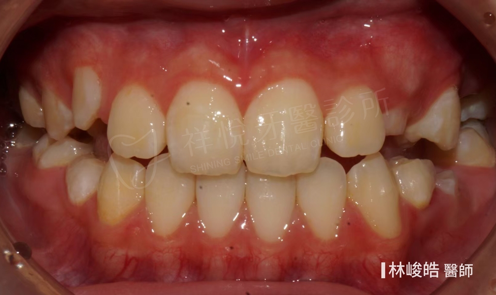
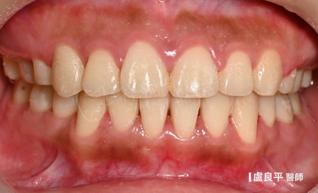
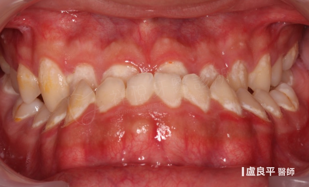
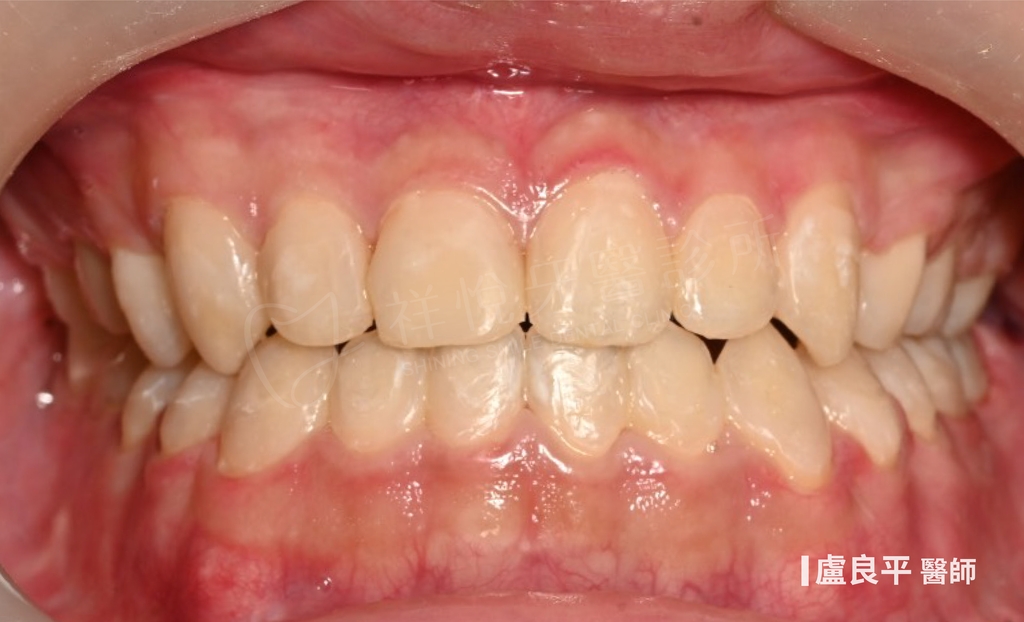
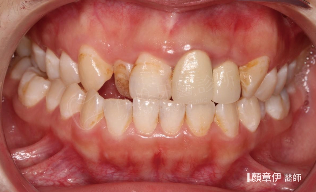
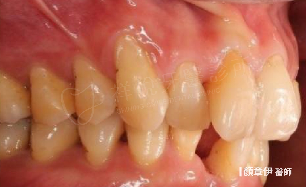
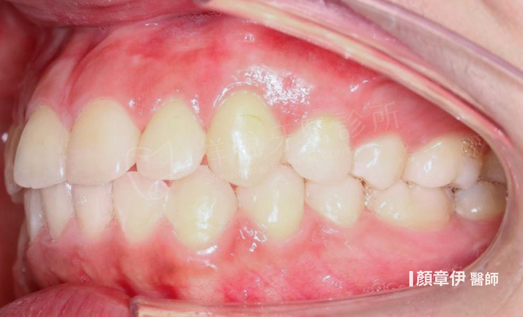
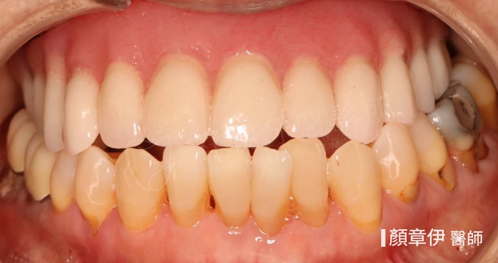
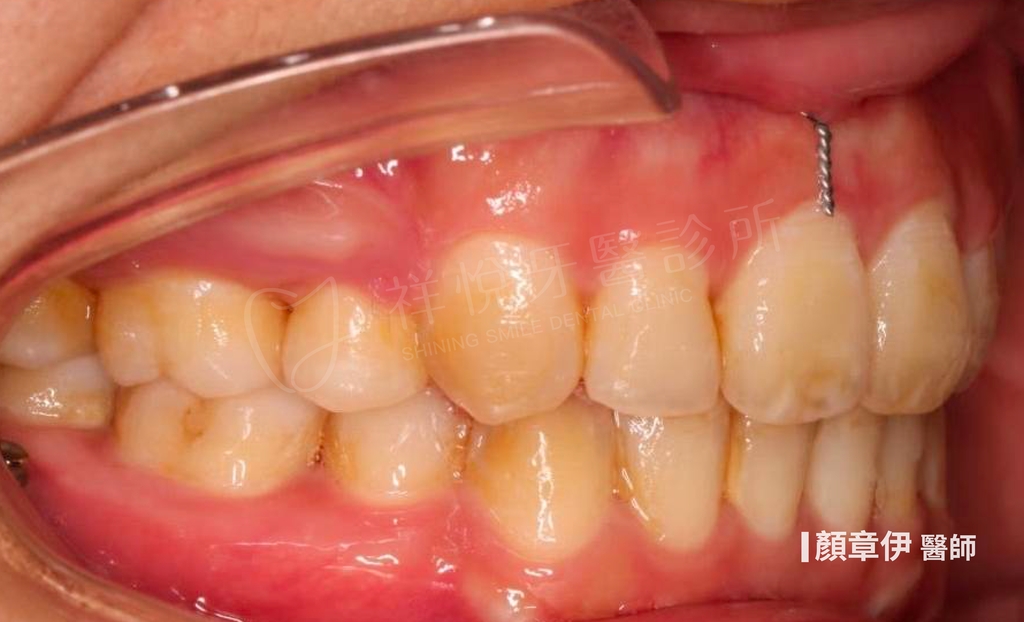
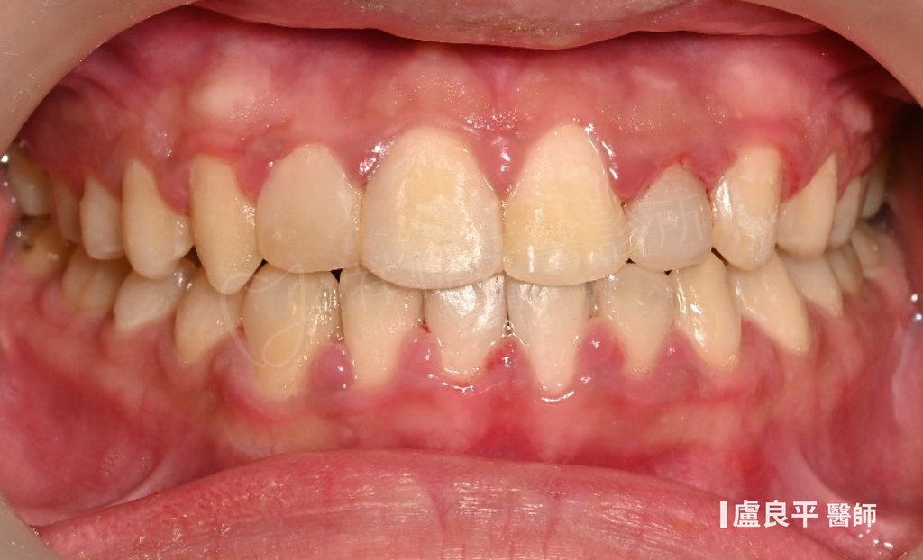
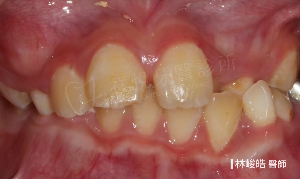
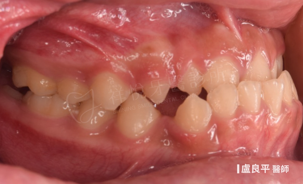
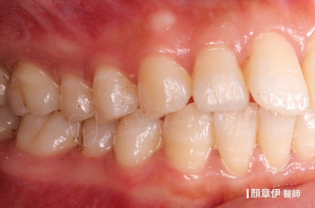
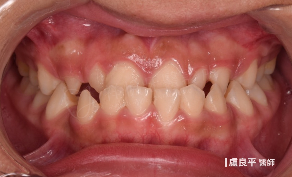
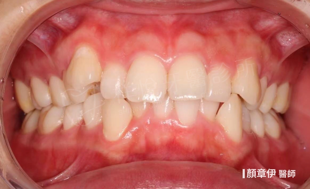
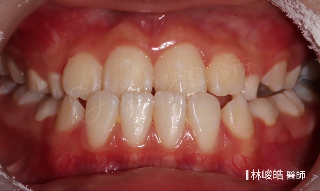
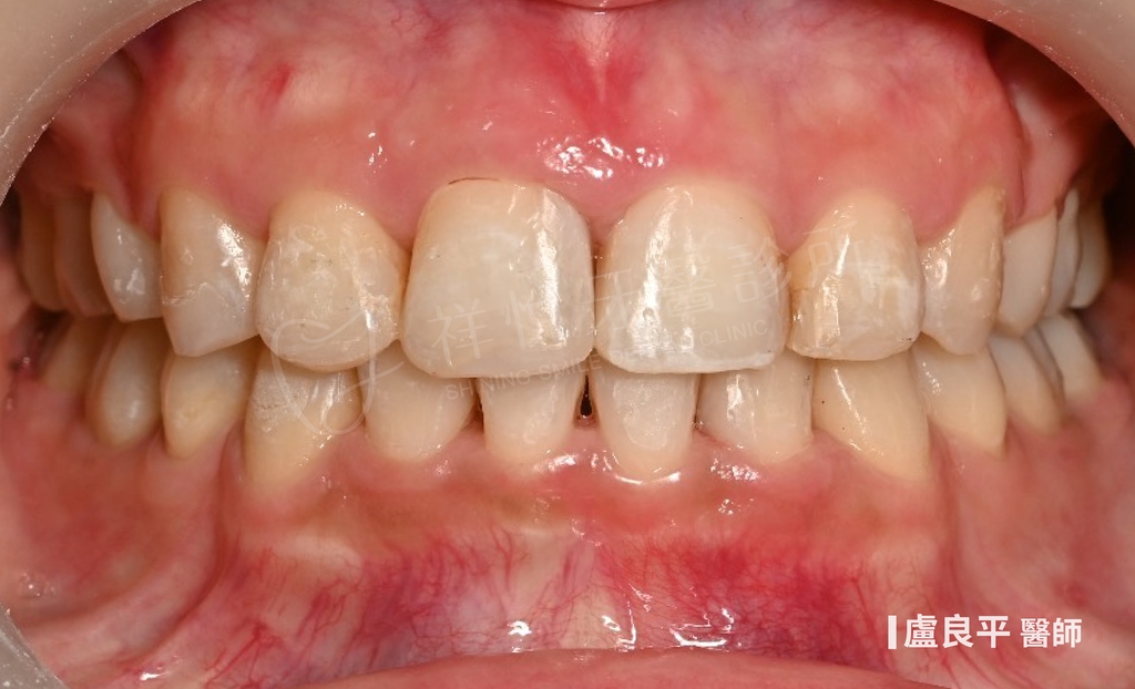
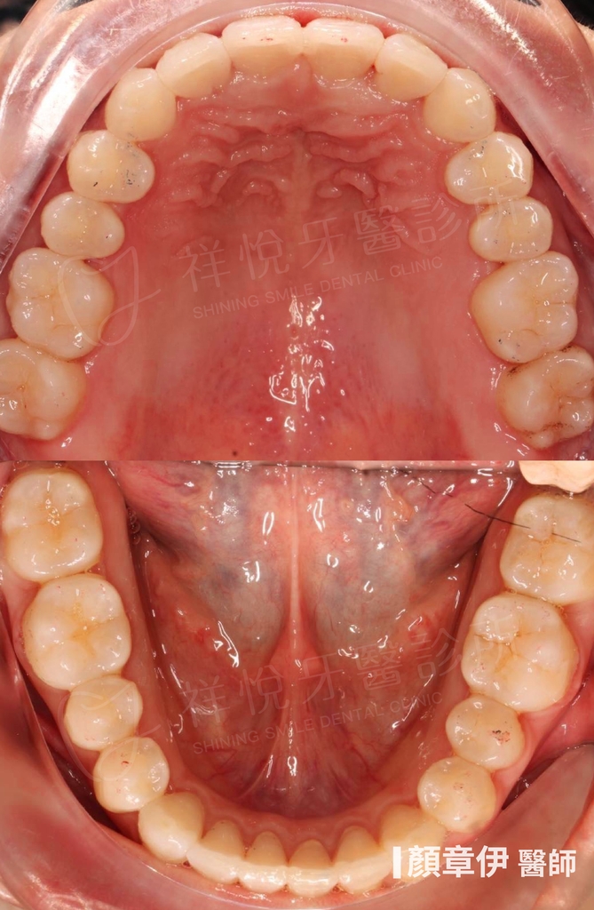
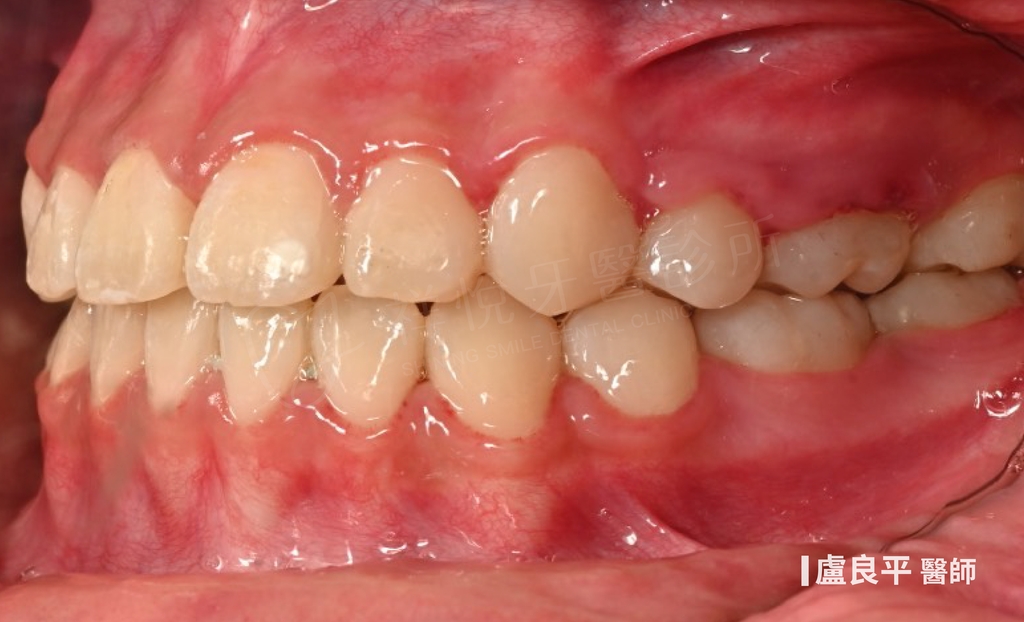
傳統矯正案例

運用傳統金屬或陶瓷矯正器,有效調整牙齒排列與咬合。

矯正前 矯正後
傳統矯正治療前
傳統矯正治療後
傳統矯正治療前
傳統矯正治療後
傳統矯正治療前
傳統矯正治療後
傳統矯正治療前
傳統矯正治療後
傳統矯正治療前
傳統矯正治療後
傳統矯正治療前
傳統矯正治療後
傳統矯正治療前
傳統矯正治療後
傳統矯正治療前
傳統矯正治療後
傳統矯正治療前
傳統矯正治療後
傳統矯正治療前
傳統矯正治療後
傳統矯正治療前
傳統矯正治療後
傳統矯正治療前
傳統矯正治療後
傳統矯正治療前
傳統矯正治療後
傳統矯正治療前
傳統矯正治療後
傳統矯正治療前
傳統矯正治療後
傳統矯正治療前
傳統矯正治療後
傳統矯正治療前
傳統矯正治療後
傳統矯正治療前
傳統矯正治療後
傳統矯正治療前
傳統矯正治療後
傳統矯正治療前
傳統矯正治療後
傳統矯正治療前
傳統矯正治療後
傳統矯正治療前
傳統矯正治療後
傳統矯正治療前
傳統矯正治療後
傳統矯正治療前
傳統矯正治療後
傳統矯正治療前
傳統矯正治療後
傳統矯正治療前
傳統矯正治療後
傳統矯正治療前
傳統矯正治療後
傳統矯正治療前
傳統矯正治療後
傳統矯正治療前
傳統矯正治療後
傳統矯正治療前
傳統矯正治療後
了解更多傳統矯正

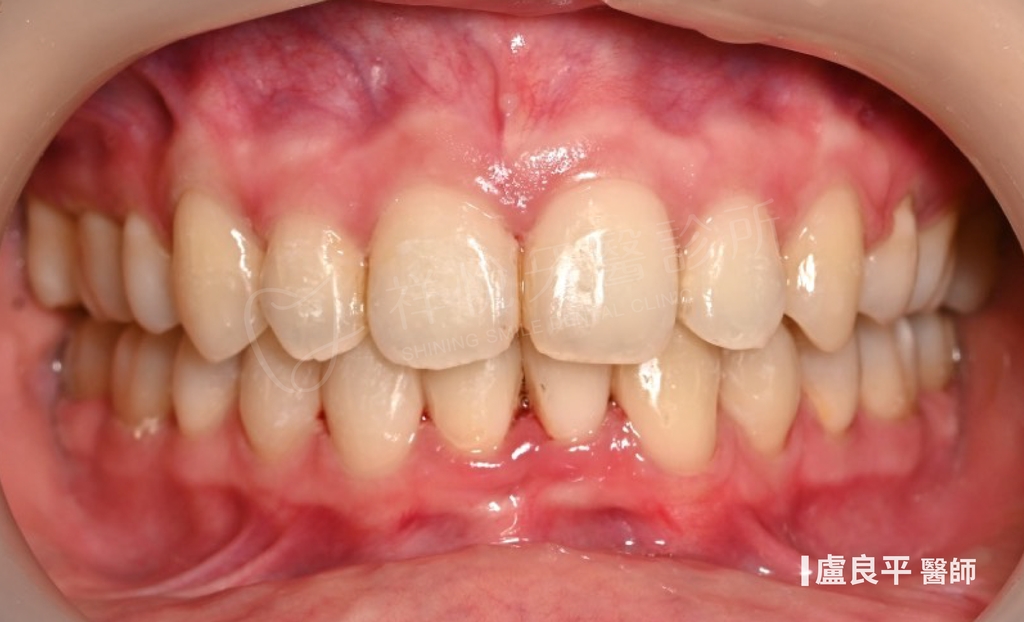
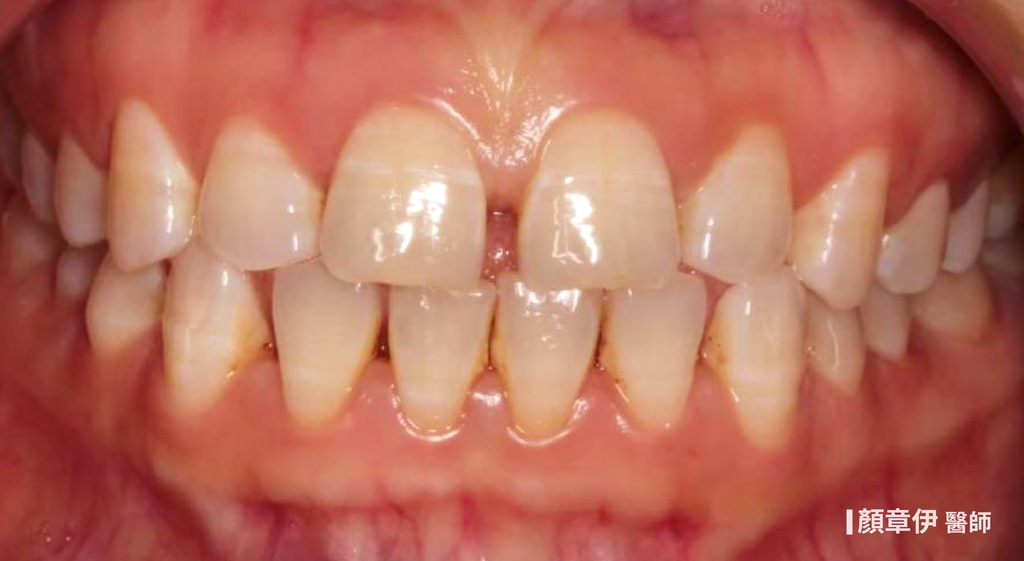
隱適美矯正案例

透明隱形牙套,舒適美觀,不影響日常生活與社交。

矯正前 矯正後
隱適美矯正治療前
隱適美矯正治療後
隱適美矯正治療前
隱適美矯正治療後
隱適美矯正治療前
隱適美矯正治療後
隱適美矯正治療前
隱適美矯正治療後
隱適美矯正治療前
隱適美矯正治療後
隱適美矯正治療前
隱適美矯正治療後
隱適美矯正治療前
隱適美矯正治療後
隱適美矯正治療前
隱適美矯正治療後
隱適美矯正治療前
隱適美矯正治療後
隱適美矯正治療前
隱適美矯正治療後
隱適美矯正治療前
隱適美矯正治療後
隱適美矯正治療前
隱適美矯正治療後
隱適美矯正治療前
隱適美矯正治療後
隱適美矯正治療前
隱適美矯正治療後
隱適美矯正治療前
隱適美矯正治療後
隱適美矯正治療前
隱適美矯正治療後
隱適美矯正治療前
隱適美矯正治療後
隱適美矯正治療前
隱適美矯正治療後
隱適美矯正治療前
隱適美矯正治療後
隱適美矯正治療前
隱適美矯正治療後
隱適美矯正治療前
隱適美矯正治療後
隱適美矯正治療前
隱適美矯正治療後
隱適美矯正治療前
隱適美矯正治療後
隱適美矯正治療前
隱適美矯正治療後
隱適美矯正治療前
隱適美矯正治療後
隱適美矯正治療前
隱適美矯正治療後
隱適美矯正治療前
隱適美矯正治療後
隱適美矯正治療前
隱適美矯正治療後
隱適美矯正治療前
隱適美矯正治療後
隱適美矯正治療前
隱適美矯正治療後
隱適美矯正治療前
隱適美矯正治療後
隱適美矯正治療前
隱適美矯正治療後
隱適美矯正治療前
隱適美矯正治療後
隱適美矯正治療前
隱適美矯正治療後
了解更多隱適美矯正

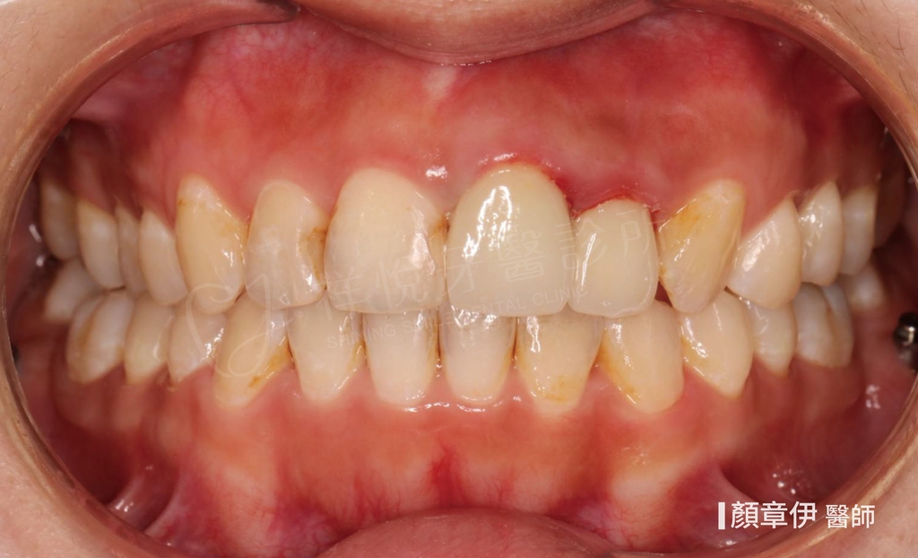
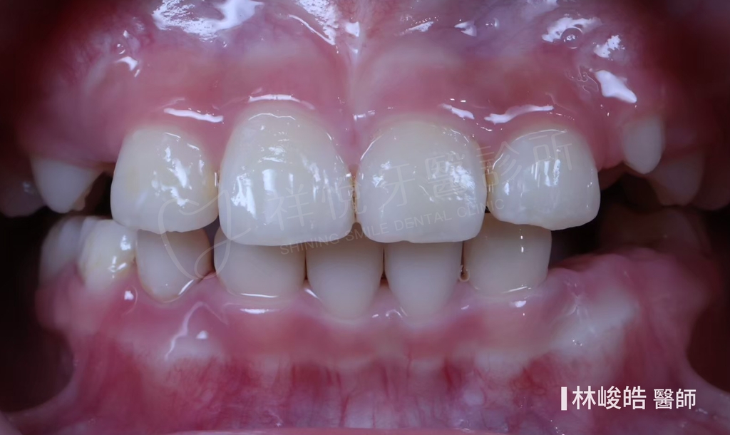
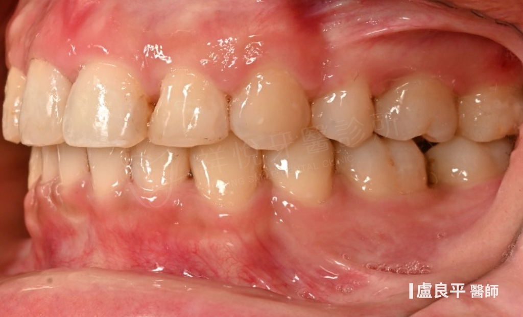
全瓷冠假牙案例

採用高品質全瓷材料,打造自然美觀、堅固耐用的假牙。

治療前 治療後
全瓷冠治療前
全瓷冠治療後
了解更多全瓷冠

顯微牙科案例

運用高倍率顯微鏡輔助治療,提升治療精準度與成功率。

治療前 治療後
顯微鏡下視角
了解更多顯微牙科

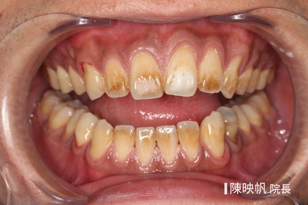
牙齒美白案例

提供噴砂美白、居家美白、冷光美白等多種選擇,讓牙齒恢復亮白。

美白前 美白後
噴砂美白前
噴砂美白後
居家美白前
居家美白後
冷光美白前
冷光美白後
了解更多牙齒美白

每位患者的口腔狀況不同,治療方案也因人而異。 歡迎預約諮詢,讓專業醫療團隊為您評估最適合的治療方式。

立即預約諮詢