牙周病

牙周病

專業湖口牙周病評估預約

牙周病

牙周病怎麼形成的呢?

牙周病主要是因牙齒清潔不當,導致牙菌斑堆積。 牙菌斑長時間未清除,會逐漸鈣化形成牙結石。 這些牙菌斑和牙結石會刺激牙齦,引發發炎反應,造成牙齦紅腫、流血。 若未及時治療,發炎會進一步破壞牙周組織, 導致牙齒周圍的骨頭流失,嚴重時可能造成牙齒鬆動甚至脫落。

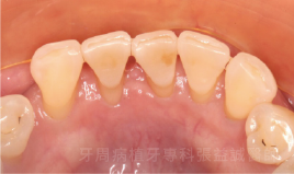
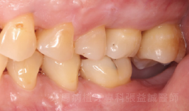
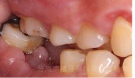
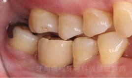
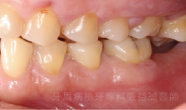
牙周病水雷射治療案例分享

治療前 治療後
治療前
治療後
治療前
治療後
治療前
治療後
牙周病症狀

當你發現以下症狀千萬不要忽視
可能是「牙周病症狀」

  • 刷牙流血
  • 牙齒敏感
  • 牙齦紅腫、出血
  • 口腔異味重
  • 牙齒鬆動
  • 牙根裸露

牙周病嚴重等級

牙齦炎

牙齒敏感、
牙齦紅腫

輕度
牙周病

刷牙出血、
牙齦疼痛紅腫

中度
牙周病

牙齒輕微搖動、
牙根微露出

重度
牙周病

牙齒明顯搖晃、
牙根大範圍露出

牙周病治療流程

醫師評估牙周病嚴重等級
牙周治療(依據嚴重程度安排治療方式)
重新再評估牙周病況
3-6個月定期檢查

傳統牙周病怎麼治療呢

  • 1. 施打麻醉:手術前施打局部麻醉
  • 2. 牙齦翻瓣:切開牙齦後翻開露出牙根表面。
  • 3. 刮除牙結石:使用手術刮刀徹底刮除牙根上的牙結石與細菌。
  • 4. 沖洗消毒:沖洗手術位置,確保無任何細菌。
  • 5. 縫合:將牙齦縫合修整牙齦外型,幫助傷口癒合

傳統手術方式可能讓患者感到不適或恢復期較長,
現在有更舒適的選擇
「水雷射牙周病治療」

水雷射機器
水雷射
傳統翻瓣
治療方式
利用雷射激發之高能水分子進入牙周囊袋清除牙結石與細菌
切開與翻開牙齦,使用牙周刮刀清除牙結石
舒適度
不需切開牙齦不需縫合,減輕不適感
需麻醉切開牙齦治療,較不適
恢復期
雷射殺菌幫助傷口快速癒合減少修復期
需拆線,恢復期較長

關於牙周病Q&A

牙周病可以根治嗎?

大部分的牙周病為慢性牙周炎,屬於慢性病的一種,完全根治較為不易,需配合牙周病專科醫師進行治療,並搭配日常正確的刷牙習慣,方可獲得長期良好的控制。

已完成牙周病治療還會復發嗎?

如果沒有妥善照護與清潔還是會造成牙周病復發。

當發現牙周病症狀時,應及時就醫,交由專業的牙周專科醫師進行完整的牙周病評估,並積極配合治療。 守護牙齒健康,不僅需要醫師的專業治療,更需要患者自身的配合, 養成良好正確的口腔清潔習慣,才能有效控制牙周病。

湖口祥悅牙醫診所牙周病專科張益誠醫師

提供最專業的牙周病評估與治療。

預約牙周病評估