即拔即種

即拔即種

專業湖口植牙評估預約

什麼是即拔即種

拔除牙齒當日立即將人工牙根 (植體) 植入窩洞(原拔牙位置), 傳統植牙通常需等待牙齦與骨組織癒合後再進行, 而即拔即種能大幅縮短療程時間,減少多次手術的不便。

哪些人適合做即拔即種

骨頭條件
良好

軟組織
良好

即拔即種模型

即拔即種的優勢

  1. 縮短手術療程時間
  2. 減少手術次數
  3. 保存良好的骨頭與軟組織

祥悅新竹湖口牙醫即拔即種流程

評估
牙齒狀況
拔牙
植入植體
安裝支台齒
正式牙冠

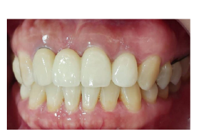
即拔即種案例

植牙前 植牙後
植牙前
植牙後
更多即拔即種案例

關於即拔即種Q&A

拔牙當天就能植牙嗎?

只要牙周與骨質條件良好、沒有感染或急性發炎情況, 經由醫師專業評斷搭配X光與3D電腦斷層評估後, 可於拔牙後立即植入人工牙根。 此治療方式能維持牙齦與骨質形態,避免牙床萎縮,也能減少手術次數與恢復期。

即拔即種的費用是多少 ?

即拔即種費用會依補骨量與植體品牌、材質、人工牙根與牙冠製作而不同

植牙手術前,需要由專業的醫師進行詳細的評估,透過 口內檢查、X光影像、3D電腦斷層等設備, 了解牙齒的骨質條件、牙齦健康、咬合關係與全口狀況。 這些專業評估能幫助醫師為每位患者量身訂製最適合的治療計畫,確保植牙手術的成功率與安全性。

植牙的穩定與長久使用,取決於完整的術前評估、精準的手術執行,以及術後良好的照護與維護。

選擇專業的湖口祥悅植牙團隊, 讓牙齒用的久用的好,讓植牙手術更安心、更放心!

預約植牙評估