牙齒美白

牙齒美白

加入LINE官方預約

牙齒表面泛黃、咖啡漬等色素沉澱, 讓微笑時露出的牙齒看起來髒髒的,非常影響自信心。 如果您也因牙齒不夠白皙而在意外觀,可以考慮專業的牙齒美白療程,來改善這個問題。

湖口祥悅牙醫診所提供三種牙齒美白療程選擇,包括:

須由醫師專業評估,根據您的牙齒狀況與需求,提供最合適的牙齒美白治療計畫, 讓您恢復一口亮白牙齒。

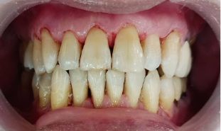
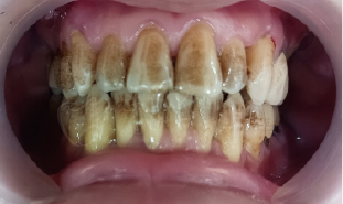
噴砂美白

使用高壓水柱搭配碳酸鈣粉末,透過物理性清潔, 有效去除牙齒表面的茶漬、咖啡漬、食物染色及菸垢等色素沈澱, 幫助牙齒恢復接近原本的自然顏色

噴砂美白案例

噴砂前 噴砂後
噴砂前
噴砂後

居家美白

製作專屬的個人化牙托,將美白藥劑擠入牙托中,再配戴於牙齒上。 每天依照建議的時間配戴,持續一段療程後,逐步改善牙齒顏色,達到自然美白的效果。 這種美白牙齒療程不需要頻繁的至診所,在家中即可自行進行完成美白。

居家美白案例

美白前 美白後
美白前
美白後

冷光美白

將美白藥劑均勻塗抹於牙齒表面後,透過藍光照射加速藥劑活化, 幫助分解牙齒上的色素沈澱,進而達到明顯的美白效果。 這是一種快速、效果明顯的牙齒美白方式,適合希望在短時間內達到牙齒美白效果的患者。

冷光美白案例

美白前 美白後
美白前
美白後

牙齒美白治療,提升牙齒色階,

交給湖口祥悅牙醫診所,讓亮白牙齒照亮生活。