拔牙

拔牙

專業湖口拔牙評估預約

為甚麼需要拔牙?

  • 嚴重蛀牙
  • 嚴重牙周病造成牙齒搖晃
  • 牙根斷裂
  • 預防蛀牙拔除第三大臼齒-智齒
  • 牙齒矯正計畫-齒列擁擠

湖口牙醫祥悅拔牙治療流程

拔牙 評估
拔牙 治療
術後 照顧

拔牙後注意事項

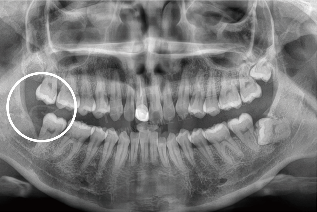
湖口牙醫祥悅拔牙案例分享

阻生齒拔除

拔牙前 拔牙後
拔牙前
拔牙後
拔牙前
拔牙後

拔牙後需要植牙嗎?什麼時候植牙是最好的時機

若骨質軟組織條件良好,可進行即拔即種植牙, 減少手術次數且大大縮短治療與手術時間。 缺牙太久不處理,會讓齒槽骨慢慢萎縮、鄰牙開始傾倒, 還會讓對咬牙過度生長與造成其他牙齒磨耗等種種問題。

了解更多關於即拔即種

關於拔牙Q&A

拔牙後會腫多久?

通常輕微腫脹約持續 2~3 天,是正常生理反應。 可在拔牙後三天內做冰敷,能減輕腫脹不適。若腫脹持續超過五天或有明顯疼痛,請告知診所,醫師安排檢查。

拔牙後多久可以吃東西?

需要等麻藥全退後才能吃東西,麻藥退需要2-3小時,會因每個人本身狀況有所不同。

拔牙後一直流血怎麼辦?

拔牙後會提供乾淨紗布,請輕咬約 30~60 分鐘止血。 若一小時後仍有少量出血,可更換新的乾淨紗布繼續輕咬。 如出血情況持續不止,請聯絡診所,安排醫師確認狀況處理。

拔牙只是治療的一個階段,真正重要的是後續的口腔健康維護。 守護牙齒健康不僅需要醫師的專業,也需要患者一起配合 唯有養成良好的口腔清潔習慣、按時刷牙與使用牙線,才能維持長久的口腔穩定與健康。

湖口祥悅牙醫診所提供最專業的拔牙治療,

能照護您的口腔健康是診所的喜悅。

預約拔牙評估